По сравнению с белыми пациентами, чернокожие пациенты с острым миелолейкозом (ОМЛ) были в среднем более чем на пять лет моложе на момент постановки диагноза, более чем на 30 % выше вероятность смерти от своего заболевания и более чем на 20 % выше вероятность смерти по любой причине, согласно анализу данных, проведенному за 34-летний период и поддержанному Национальным институтом рака (NCI), входящим в состав Национального института здравоохранения США. Среди пациентов с мутацией в раковых клетках, которая обычно связана с более благоприятными исходами лечения ОМЛ, выживаемость чернокожих пациентов была менее половины выживаемости белых пациентов.
Насколько нам известно, это исследование включает данные для большего числа чернокожих пациентов, чем любое другое подобное исследование выживаемости при ОМЛ в клинических исследованиях, поддерживаемых NCI. Наши результаты подтверждают результаты предыдущих, небольших исследований, согласно которым у чернокожих пациентов с ОМЛ болезнь развивается в среднем в значительно более молодом возрасте, чем у белых пациентов, и даже при лечении в рамках клинических исследований результаты лечения значительно хуже, чем у белых пациентов».
Шелла Сент-Флер-Ломини, доктор медицинских наук, первый автор исследования, доцент медицины в Медицинской школе Университета Мэриленда и участник программы терапии рака в Университете Мэриленда Марлен и Стюарт Комплексный онкологический центр Гринебаума
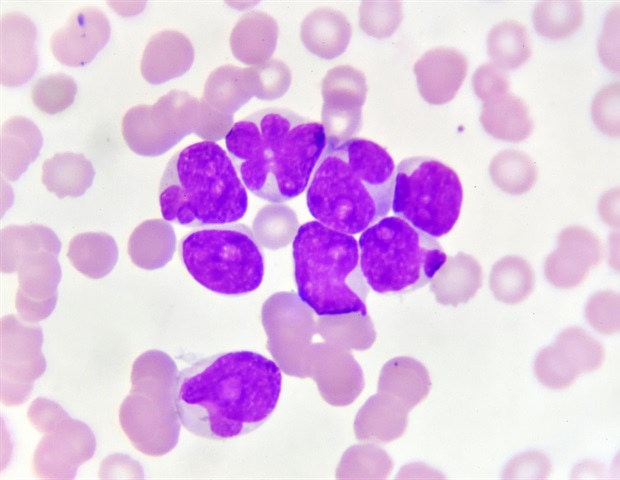
ОМЛ — это редкий, быстрорастущий рак, который начинается в костном мозге, мягких тканях внутри костей, где формируются клетки крови. Ранние кроветворные клетки изменяются (мутируют) и начинают выходить из-под контроля, в результате чего большое количество аномальных, незрелых клеток крови попадает в кровоток и вытесняет здоровые клетки. В результате ОМЛ может привести к тому, что органы перестанут работать должным образом, и врачи будут основывать рекомендации по лечению на основе биопсии. тесты, которые определяют «профиль» мутаций в клетках ОМЛ пациента, поскольку разные препараты могут воздействовать на разные мутации, что приводит к лучшему ответу на лечение и увеличению выживаемости.
Многолетние опубликованные отчеты показали худшие результаты для чернокожих пациентов, получавших лечение от ОМЛ, по сравнению с белыми пациентами, сказал доктор Сен-Флер-Ломини; причины этого различия не до конца понятны, у чернокожих пациентов, диагноз которых был поставлен в подростковом возрасте или в возрасте до 40 лет, были даже худшие результаты, чем у их белых коллег. когда у них были мутации, которые у белых пациентов обычно связаны с более благоприятными результатами лечения.
Клинические испытания часто позволяют пациентам с раком получить доступ к новым методам лечения своего заболевания до того, как они станут широко доступными. После десятилетий усилий по обеспечению доступа к клиническим испытаниям для пациентов любого происхождения отчет 2020 года показал увеличение числа чернокожих пациентов в исследованиях, поддерживаемых NCI. Соответствующее исследование выявило более высокий уровень чернокожих пациентов в исследованиях, спонсируемых NCI, чем в фармацевтических исследованиях. Тем не менее, чернокожие пациенты по-прежнему недостаточно представлены во многих клинических исследованиях, сказала д-р Сен-Флер-Ломини.
В этом исследовании она и ее коллеги изучили медицинские записи всех пациентов с впервые выявленным ОМЛ, которые были включены в 10 клинических исследований группы исследования рака ECOG-ACRIN в период с 1984 по 2019 год (на тот момент ECOG-ACRIN был членом Национальной сети клинических испытаний NCI). сравнили общую выживаемость белых и чернокожих пациентов (т. е. смерть от любой причины), безрецидивную выживаемость (т. е. продолжительность времени после лечения, в течение которого у пациента не наблюдается признаков возвращения заболевания), а также генетические мутации, обнаруженные в их раковых клетках.
Они собрали данные в общей сложности о 3469 белых пациентах, 184 чернокожих пациентах и 156 пациентах других рас и этнических групп. В 10 исследованиях определялась доля чернокожих пациентов. Средний возраст чернокожих пациентов при диагнозе ОМЛ составлял 47,9 лет по сравнению с 53,5 годами для белых пациентов, что является статистически значимой разницей. Более того, по сравнению с белыми пациентами, у чернокожих пациентов риск смерти от ОМЛ был на 31,3% выше, а риск смерти от любой причины - на 21,2%.
Результаты показали, что наиболее распространенные мутации, наблюдаемые в клетках ОМЛ, встречаются с одинаковой частотой у чернокожих и белых пациентов. Однако среди пациентов с мутацией в одном конкретном гене, известном как NPM1, анализ выявил значительную разницу в общей выживаемости: чернокожие пациенты выживали в среднем 8,9 месяцев по сравнению с 19,1 месяца для белых пациентов.
"Хотя мутация NPM1 обычно связана с более благоприятными результатами лечения ОМЛ, мы не наблюдали таких более благоприятных результатов у чернокожих пациентов", - сказал доктор Сэйнт. Флер-Ломини.
Хотя в целом одинаковое количество чернокожих и белых пациентов получили трансплантаты кроветворных стволовых клеток, меньше чернокожих пациентов (37,1%), чем белых пациентов (48,5%), получили стволовые клетки от здорового совместимого донора.

15:00







