Новое национальное исследование впервые показывает, что люди, подвергшиеся воздействию Agent Orange, сталкиваются с более высоким риском развития миелодиспластического синдрома (МДС), склонны к его развитию раньше и часто страдают более агрессивным заболеванием, которое с большей вероятностью перерастет в острый миелолейкоз. Исследование проводилось совместно с исследователями из Комплексного онкологического центра Сильвестра, входящего в состав Медицинской школы Миллера при Университете Майами.
Многие ветераны и врачи уже давно задаются вопросом, способствовало ли воздействие агента Orange во время войны во Вьетнаме развитию случаев МДС, типа рака крови. Загрязненное химическое вещество связано с несколькими видами рака, но связь с МДС остается неясной. Это создало реальные препятствия для ветеранов с МДС, которые обращаются за уходом и пособиями по инвалидности.
Это исследование было личным поиском. Я вижу ветеранов, у которых развиваются эти заболевания и которые нуждаются в дорогостоящей медицинской помощи, но я не могу написать письмо, которое устанавливает причинно-следственную связь, потому что до этого исследования мы не имели четкой связи «Агент Оранж» с МДС».
Миккаэль Секерес, доктор медицинских наук, руководитель отделения гематологии в Сильвестре
Секерес представит полный анализ в стендовой презентации 8 декабря на ежегодном собрании Американского общества гематологов (ASH) 2025 года в Орландо.
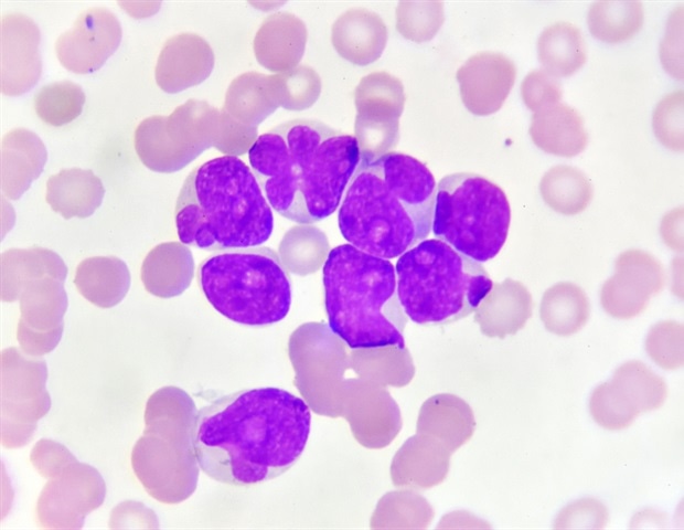
МДС — это рак костного мозга, который развивается медленно в течение жизни в результате накопления генетических мутаций. Ежегодно МДС поражает до 20 000 американцев, обычно старше 70 лет. Некоторые агрессивные случаи МДС в конечном итоге перерастают в острый миелоидный лейкоз.
«МДС — это не чудо одного раза», — сказал Секерес. «У пациентов возникает одна генетическая мутация, затем другая. Для развития этих мутаций требуются десятилетия, а при таком воздействии, как «Агент Оранж», пациенты могут приобрести эту первую мутацию в более молодом возрасте, чем обычно».
Около 2,6 миллиона военнослужащих США, возможно, подверглись воздействию «Агента Оранж» во время войны во Вьетнаме. Правительство США использовало это химическое вещество в качестве дефолианта, но оно случайно содержало одно из самых опасных промышленных химикатов, когда-либо производившихся, - токсичную форму диоксина. Исследования уже связывают воздействие «Агента Оранж» с раком крови, включая различные виды рака крови. лимфома, множественная миелома и лейкемия.
Исследования не выявили четкой связи между воздействием агента Orange и МДС главным образом потому, что данные не были доступны. «Никто не изучал это раньше, потому что не было организованных реестров с данными, необходимыми для установления этой связи», — сказал Секерес. Только одно более старое исследование попыталось изучить возможную связь, но в нем не было диагностического подтверждения и были неполные данные о воздействии.
Этот пробел в данных заставил ветеранов уйти. Этот новый анализ представляет собой первую общенациональную проспективную попытку связать подтвержденный диагноз МДС с документально подтвержденным воздействием агента Orange.
Использованные в исследовании данные взяты из исследования естественной истории MDS, которое включает генетическую информацию из костного мозга и данные о воздействии на окружающую среду. Исследовательская группа изучила данные 2115 человек, 130 из которых сообщили о воздействии агента Orange.
Исследование показало, что по сравнению с теми, кто не подвергался воздействию агента Orange. У людей, подвергшихся воздействию агента Orange, был диагностирован МДС в более молодом возрасте. У них также было более высокое бремя вредных мутаций, и они с большей вероятностью проявляли генетические закономерности высокого риска, наблюдаемые в случаях МДС, связанных с токсином.
Клинически, у людей, подвергшихся воздействию агента Orange, вероятность прогрессирования заболевания в течение первых двух лет после постановки диагноза была почти в два раза выше. К счастью, общая выживаемость между двумя группами была одинаковой. каким бы сильным он ни был».
Результаты всех анализов совпадали: подвергшиеся воздействию пациенты были моложе на момент постановки диагноза, имели больше мутаций, сталкивались с заболеванием более высокого риска и с большей вероятностью рано прогрессировали. «Это постоянный сигнал в различных областях, на которые мы смотрим - возраст начала, генетика, прогрессирование», - сказал Секерес.
Ветераны, которые сами сообщили о воздействии агента Orange, значительно чаще были чернокожими, причем показатели выше, чем у тех, кто наблюдался на службе во Вьетнаме. "Этот токсин, возможно, поразил особенно уязвимую группу населения", - сказал Секерес. Важно отметить, что данные не выявили связи между этими закономерностями и курением - потенциальным сбивающим с толку фактором.
Для ветеранов эти результаты могут помочь в будущих усилиях по улучшению распознавания, скрининга и доступа к медицинской помощи. Без официального признания этой связи пациенты с МДС с трудом могут претендовать на получение льгот, связанных с военной службой. особенно когда МДС возникает в более молодом возрасте.
Команда готовит последующие анализы, используя национальные базы данных ветеранов, чтобы усилить и уточнить результаты.

22:00







